Implant specialist–led planning (All-on-4 & full-arch cases)
Clear pricing & realistic treatment timelines
Travel coordination support available
No obligation. Clear quote after evaluation. Response within 24 hours

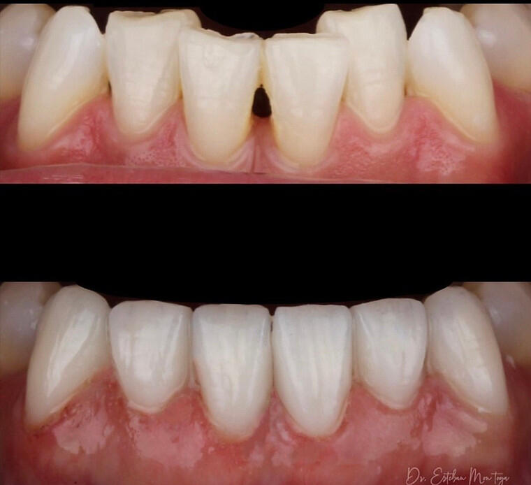
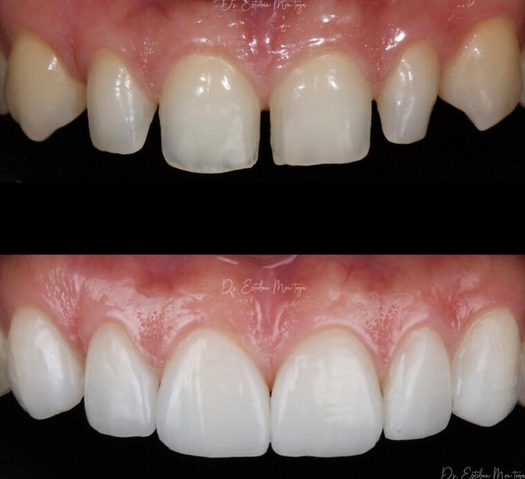
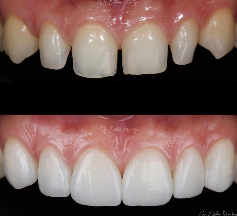
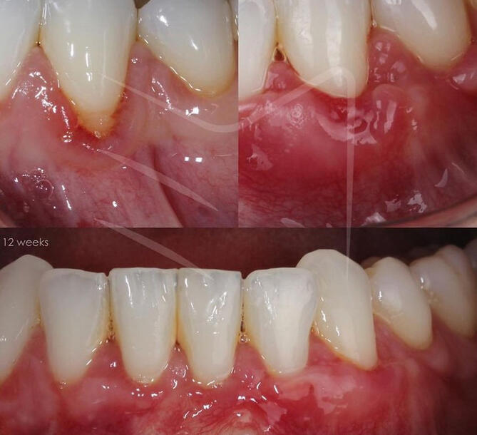
Real Patients. Real Results.
Before & after cases + short patient video testimonials from our clinic in Costa Rica.
Tap any case to view full-size.
Results vary • Shared with permission • Specialist planning available
Featured Patient Stories
Real international cases treated at our clinic in Costa Rica.
Full Smile Reconstruction • 1 min
Veneers, crowns & dental implants.
A detailed case from a U.S. patient who chose Costa Rica for comprehensive treatment.
Meet Dr. Esteban • 1 min
15+ years specializing in implant dentistry.
Our philosophy: multidisciplinary planning and predictable outcomes.
Life-Changing Smile • 23 sec
From insecurity to confidence.
A short patient story about transformation and self-esteem.
Looking for implant-specific cases?
Request a personalized treatment plan and we’ll share examples relevant to your situation.
No obligation • Secure form • Response within 24 hours
Trusted by International Implant Patients
Verified 5-star reviews from real patients treated at our clinic in Costa Rica.
⭐ 5 Average Rating
Based on verified Google reviews
⭐⭐⭐⭐⭐“I underwent dental implant surgery and smile design, and the results exceeded my expectations. The entire process was smooth, from consultation to final results.”— Marcela V.
⭐⭐⭐⭐⭐“I had a full maxillary bone graft, 10 implants, and 8 crowns. The experience was exceptional and the recovery was easier than I anticipated.”— Rommel P.
⭐⭐⭐⭐⭐“As someone who works in film and TV, my smile is everything. I fly from NYC to see Dr. Montoya. Highly recommended.”— Chad W.
⭐⭐⭐⭐⭐“The implants look completely natural and flawless. The attention to detail is truly impressive.”— Ruben B.
More Patient Stories
Gabriela —From Bruxism to Confidence
1 min
Years of grinding affected both comfort and appearance. With proper planning and restorative care, she restored balance, strength, and confidence in her smile.
Alejandro — Smart Treatment Decision • 1 min
He evaluated multiple providers before deciding on a personalized treatment plan that combined advanced care with significant savings.
Chad — Public-Facing Professional• 23 sec
As a model, appearance is everything. He trusted our team to deliver precision, aesthetics, and a confident result.
Led by Implant Specialist
Dr. Esteban Montoya
Master’s in Oral Surgery & Dental Implants
International training including NYU
15+ years clinical experience
500+ international patients treated
Modern digital implant planning technology
Dr. Montoya is a highly regarded Oral Surgeon specializing in full mouth reconstructions, dental implants and aesthetics. With over 15 years of experience in dentistry, he is dedicated to clinical excellence and providing exceptional care to his patients. His commitment to enhancing the quality of life for those he treats is a cornerstone of his practice.Dr. Montoya obtained his Master's in Oral Surgery and Dental Implants from The European University in Madrid, Spain. He has also participated in several prestigious international programs at NYU in New York and has published multiple articles in reputable European scientific journals.
How Much Can You Save?
Typical U.S.
Full-Arch Cost:
$25,000 – $35,000Typical Costa Rica Range:
$11,000 – $15,000
Save approximately $10,000–$20,000 depending on case complexity.
Clear quote provided after specialist evaluation.
Specialized solutions for functional and aesthetic dental restoration.

Aesthetic improvement for patients seeking cosmetic transformation.✔ Porcelain veneers
✔ Smile symmetry
✔ Natural finishView patient results

Full-arch restoration with fewer implants and structured planning.✔ Fixed solution
✔ Predictable timeline
✔ Ideal for significant tooth lossView patient results

Permanent tooth replacement designed for long-term stability and function.✔ Natural appearance
✔ Preserves jawbone
✔ Long-lasting solutionView patient results
Still unsure which treatment is right for you?
Get a personalized implant plan in 24h.




Implant Specialists You Can Trust

Dr. Esteban Montoya
Master’s in Oral Surgery & Dental Implants
International training (NYU)
1000+ advanced proceduresImplant-focused, experience-driven, specialist-level planning.

Smile design & restorative specialist.

Advanced endodontics & surgical support.

Maria Jesus Fallas
International patient coordinator.
A world-class destination for dental implants & a peaceful paradise for recovery.
Costa Rica is one of the leading destinations for dental tourism, offering U.S.-level dental care at savings of 50–70% compared to treatments in the United States and Canada.Beyond the clinic, Costa Rica offers a calm and restorative environment ideal for recovery. From beautiful beaches to lush rainforests and wellness retreats, patients can heal comfortably while enjoying one of the most welcoming countries in the world.

Home to 5%
of the World's
Biodiversity

Paradise,
Bioluminescent
Beaches and
Sea Turtle Havens

Tours and Activities
Frequently Asked Questions
Where do I start?
Complete the form with your information.
We will call you and create a specific quote for you.
Will assist you with booking flights hotels and tours.
Visit beautiful Costa Rica and restore your smile.
© 2025 WestPark Dental | All rights reserved
Get My Quote
A world-class destination for dental implants & a peaceful paradise for recovery.

Manuel Antonio National Park
Costa Rica’s #1 beach destination, known for white sand,
turquoise waters, monkeys, and sloths.
A relaxing and calm place to rest after treatment.
📍 Central Pacific — 2.5 hours from San José

La Fortuna & Arenal Volcano
Home of soothing hot springs,
peaceful rainforest hotels, and breathtaking views.
Ideal for relaxation and light recovery activities.
📍Northern Region — 3 hours from San José

Tamarindo Beach & Hacienda Pinilla Golf
A popular beach town with great restaurants,
sunsets, and walkable beaches,
plus access to Hacienda Pinilla’s championship golf course.
📍 Guanacaste — 1 hour from Liberia International Airport

Monteverde National Park
Cool mountain climate, ultra-quiet eco-lodges,
and panoramic views. One of the best spots
for peaceful, nature-based healing.
📍 Northwest Highlands — 3 hours from San José.
Lodging Options near West Park Clinic




Where do I start?
Complete the form with your information.
We will call you and create a specific quote for you.
Will assist you with booking flights hotels and tours.
Visit beautiful Costa Rica and restore your smile.
© 2025 WestPark Dental | All rights reserved
Get My Quote
Ceramic veneers protect and enhance chipped or damaged teeth, restoring a smooth, attractive appearance and helping to achieve a whiter smile after years of staining from coffee, soda, or wine. They provide a straight, even set of teeth, boosting your confidence.
Designed to last 15-20 years, these non-porous veneers are highly stain-resistant. The application process is painless and requires minimal alteration—just a thin layer of enamel is removed for a perfect fit.







Where do I start?
Complete the form with your information.
We will call you and create a specific quote for you.
Will assist you with booking flights hotels and tours.
Visit beautiful Costa Rica and restore your smile.
© 2025 WestPark Dental | All rights reserved
Get My Quote
The All-on-4® treatment concept offers a cost-effective, natural-looking solution for those missing most or all teeth in a row. Instead of replacing each tooth, we place four titanium posts into your jaw to anchor a complete set of teeth. This technique ensures your artificial teeth remain secure, as the posts fuse with the bone for a strong, long-lasting foundation.
The procedure can often be completed in a single day, instantly rejuvenating your smile, with most patients returning to their normal routine the next day.







Where do I start?
Complete the form with your information.
We will call you and create a specific quote for you.
Will assist you with booking flights hotels and tours.
Visit beautiful Costa Rica and restore your smile.
© 2025 WestPark Dental | All rights reserved
Get My Quote
Dental implants are a modern, durable solution for replacing missing teeth. These titanium posts are surgically placed in the jawbone, where they fuse with the bone over time, creating a strong foundation for natural-looking crowns. Implants not only restore functionality for chewing and speaking but also enhance aesthetics by preventing bone loss and maintaining facial structure. With proper care, they can last a lifetime, making them a reliable choice for those seeking a permanent solution to tooth loss.



Where do I start?
Complete the form with your information.
We will call you and create a specific quote for you.
Will assist you with booking flights hotels and tours.
Visit beautiful Costa Rica and restore your smile.
© 2025 WestPark Dental | All rights reserved
Get My Quote
A root canal is a refined procedure that preserves your natural tooth by removing infected tissue and sealing it to prevent future issues. Our expert team employs advanced techniques for a comfortable experience, restoring your tooth’s health and integrity, and allowing you to enjoy a beautiful, lasting smile.

An endodontist uses specialized instruments for root canal procedures, including an endodontic explorer to locate canals, files for cleaning and shaping, and rotary instruments for efficiency. Suction tips clear debris, while gutta-percha and sealers fill and seal the canals. Radiographic equipment provides imaging, and a microscope enhances precision, all aimed at preserving natural teeth by addressing pulp issues.

A root canal removes infected pulp from a tooth, cleans the area, and seals it to preserve the tooth.
Where do I start?
Complete the form with your information.
We will call you and create a specific quote for you.
Will assist you with booking flights hotels and tours.
Visit beautiful Costa Rica and restore your smile.
© 2025 WestPark Dental | All rights reserved
Get My Quote
Dental aligners offer a discreet, luxurious approach to achieving a perfectly aligned smile. Custom-crafted from clear, high-quality materials, these aligners gradually shift your teeth into place without the need for traditional braces. Designed for comfort and convenience, they seamlessly fit into your lifestyle, allowing you to enjoy your daily activities while enhancing your appearance. With regular wear, you’ll experience the elegance of a beautifully straight smile, all while maintaining the sophistication of a virtually invisible treatment.

Where do I start?
Complete the form with your information.
We will call you and create a specific quote for you.
Will assist you with booking flights hotels and tours.
Visit beautiful Costa Rica and restore your smile.
© 2025 WestPark Dental | All rights reserved
Get My Quote
When considering treatment for periodontal disease, prioritize options that enhance your quality of life. This condition affects the gums and bone, leading to discomfort. While affordable surgical solutions exist, it’s essential to get a personalized assessment that truly meets your needs. Invest in your well-being for a healthier, more confident smile.

Gingivectomy

Soft Tissue Graft

Root Coverage

Dental Cleaning

Where do I start?
Complete the form with your information.
We will call you and create a specific quote for you.
Will assist you with booking flights hotels and tours.
Visit beautiful Costa Rica and restore your smile.
© 2025 WestPark Dental | All rights reserved
Get My Quote